Tongue Thrust

What Is A Tongue Thrust?

Tongue thrust, also known as "reverse swallow," occurs when the tongue rests low in the mouth and pushes forward during swallowing. This abnormal swallowing pattern is closely linked to mouth breathing, so if you breathe through your mouth, it's likely that you also have a tongue thrust pattern. Ideally, the tongue should not be visible while talking or eating. When chewing, the tongue should lift to ‘the spot’ on the roof of the mouth, helping to move food or liquids backward, not forward.

A tongue thrust can also be associated with gastroesophageal reflux disease (GERD), and individuals with this condition often swallow large amounts of air, which can lead to excessive burping. This air-swallowing behavior is a common sign that someone may benefit from myofunctional therapy.

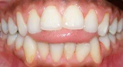
The primary concern with tongue thrust is the positioning of the tongue at rest. In those affected, the tip of the tongue often rests between or against the front teeth, and the entire tongue is positioned low in the mouth. Ideally, the tongue should rest at the top of the mouth to provide internal support for the upper jaw. Tongue thrust is often a symptom of other health issues related to airway and breathing, and it is frequently accompanied by mouth breathing and an open mouth resting posture.

A tongue thrust is a sign of bigger underlying issues. It often indicates mouth breathing, which can develop into sleep apnea. Addressing the airway is critical when treating this condition with myofunctional therapy.

Do You Have a Tongue Thrust?

There are several indicators that can help identify whether you or your child might have a tongue thrust swallowing pattern. Here are some of the most common signs:

  • Mouth Breathing: This is the most noticeable symptom. The mouth remains open at rest, and the tongue if often forward or sticking out.

  • Orthodontic Relapse: Dysfunctional tongue placement and swallowing patterns can apply uneven forces to teeth, leading to misalignment of teeth during eruption, and causing orthodontic treatment to be undone over time.

  • Speech Issues: Lisping is common in individuals with a tongue thrust. Difficulty pronouncing sounds like "T," "D," "N," and "L" is a frequent sign. Problems with overall articulation, rate of speech, and voice quality/clarity can also occur.

  • Sucking Habits: Past or current sucking habits (such as thumb sucking) can contribute to tongue thrusting. These habits can alter the tongue's position, and even if the sucking habit is stopped, the effects on oral muscle function can persist.

  • Open Bite: If the front or side teeth are unable to bite together, it’s often a sign of swallowing dysfunction.

  • Usage of Facial Muscles: In normal swallowing, the tongue is responsible for all of the work. In individuals with tongue thrust, the lips and cheeks often contract to create a vacuum effect to help swallow food or liquids.

  • TMJ or Facial Pain: Tongue thrust can lead to discomfort in the cheek muscles or jaw joints due to overuse of these muscles during swallowing and speaking.

How does a tongue thrust affect braces?

When the muscles of the mouth and face are not functioning in harmony, orthodontic treatments become much more challenging. The tongue is a strong muscle, and a tongue that is frequently pushing against the teeth can cause them to shift out of place.

Tongue thrust and mouth breathing will:

  • Make treatment more difficult for your orthodontist, spaces become harder to close and teeth are harder to align.

  • Slow down orthodontic treatment, meaning braces may need to be worn for a longer period time, causing treatment to take longer than necessary.

  • Cause teeth to shift after braces are removed, which could lead to needing braces again in the future. Even after braces are removed, the teeth may shift again if the underlying muscular forces are not corrected.

How is Speech Affected by a tongue thrust?

People with tongue thrust often have trouble pronouncing the "S" sound, leading to a lisp. Other sounds affected by tongue thrust and mouth breathing include "T," "D," "N," and "L." These sounds require precise tongue movement and placement, which can be difficult for those with improper tongue control.

How to Correct Tongue Thrust?

To fully eliminate a tongue thrust, it’s essential to develop new habits. The key to forming these habits is through an exercise-driven therapy program that retrains both the muscles and the mind. Myofunctional therapy is customized to address each patient’s unique needs, helping to identify and correct any tongue-related issues.